IMPLANT DENTISTRY

What are Dental Implants?

Dental Implants could be the best long-term solution to replace your missing teeth, so that eating the foods you love, speaking with confidence and smiling flawlessly will no longer be a distant dream. If you decide to get Dental Implants the first few steps would involve advanced planning with the help of clinical examination, 3D intra oral scans, high-definition photographs and CT scans. Once you are ready Dr Bopanna will use the surgical guide which was created using the scans to proceed with the treatment.

The process of Dental Implants involves placing a titanium cylinder which mimics the root of your tooth into the jaw bone which is connected to an aesthetic tooth coloured crown with the help of a custom fabricated part called an abutment. The success of implant treatment depends on the titanium cylinder fusing into your jaw bone(osseointegration), planning of a custom abutment to achieve good gum aesthetics and fabricating a natural looking crown/crowns to match your facial and dental profile.

SINGLE DENTAL IMPLANT

Those who have a single tooth missing often choose Dental Implants for replacement as it comes closest to imitating a natural tooth. Implants are also long-lastingly sturdy since they are fused to the jawbone and can stably stand on their own. Dr Bopanna offers uncompromising attention to detail, and uses the latest equipment to craft your new tooth.

Single tooth replacement is normally carried out in three stages. The failing tooth is extracted and an implant is placed into the socket or it can be placed after complete healing has occurred (3 months). After allowing the bone and gum to heal around the implant a scan body is attached to the implant/s and a 3d digital impression is taken. The scan is then uploaded to either Atlantis or Exocad and the abutment is designed, after which the stl file(3D file) is used to design the crown which fits on top of the implant. All of these stages can be carried out in the single appointment depending on need and condition of the patient.

FAILING TOOTH
Card image Actual Practice Photographs ©Dr.Pavan Bopanna
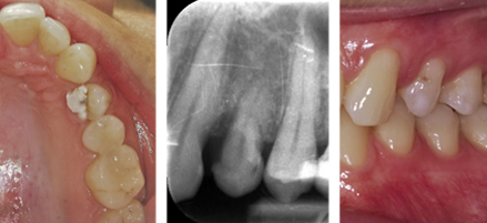
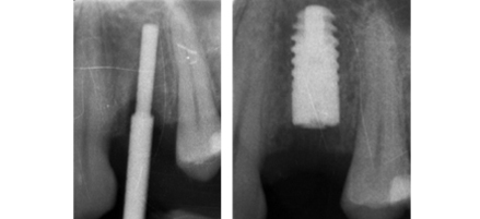
IMPLANT PLACEMENT
Card image Card image Card image Card image Card image Actual Practice Photographs ©Dr.Pavan Bopanna
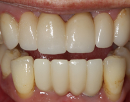
CROWN FITTED
Card image Actual Practice Photographs ©Dr.Pavan Bopanna

MULTIPLE DENTAL IMPLANT

Dr. Bopanna’s expertise in implantology makes Multiple Dental Implant replacement possible in just three simple steps. His commitment to excellence ensures that your new smile reflects the self-confidence you feel within.

In multiple implants the failing teeth are extracted and implants are placed into extraction sockets just like it’s done for single implants. After allowing the bone and gum to heal around the implant a scan body is attached to the implant/s and a 3d digital impression is taken. The scan is then uploaded to either Atlantis or Exocad and the abutment is designed, after which the stl file(3D file) is used to design the crown which fits on top of the implant. The adoption of advanced technology makes the entire workflow seamless and convenient for patients delivering excellent treatment outcomes. All of these stages can be carried out in the single appointment depending on need and condition of the patient.

FAILING TOOTH
Card image Actual Practice Photographs ©Dr.Pavan Bopanna
IMPLANT PLACEMENT
Card image Card image Card image Card image Card image Actual Practice Photographs ©Dr.Pavan Bopanna
CROWN FITTED
Card image Actual Practice Photographs ©Dr.Pavan Bopanna

FULL ARCH DENTAL IMPLANT

Extensively damaged or missing teeth can not only impede you from living a fulfilling life but can also affect your health and confidence. But full arch mouth reconstruction solution, using implants can be used to support ill-fitting dentures or restore the entire arch with a bridge to improve appearance and reinstate complete oral functions.

4-6 implants are placed in each jaw an aesthetic, functional bridge is fabricated over the implants. It need not be removed to clean on a daily basis and is probably the closest to natural teeth in function and aesthetics.

2-4 implants are placed in the lower jaw, 4-6 implants in the upper jaw can support a full denture. This procedure is very economical, greatly improves retention, stability and function. All of these stages can be carried out in the single appointment depending on need and condition of the patient.

IMPLANT SUPPORTED BRIDGE
Card image Actual Practice Photographs ©Dr.Pavan Bopanna
IMPLANT SUPPORTED DENTURE
Card image Actual Practice Photographs ©Dr.Pavan Bopanna
Card image

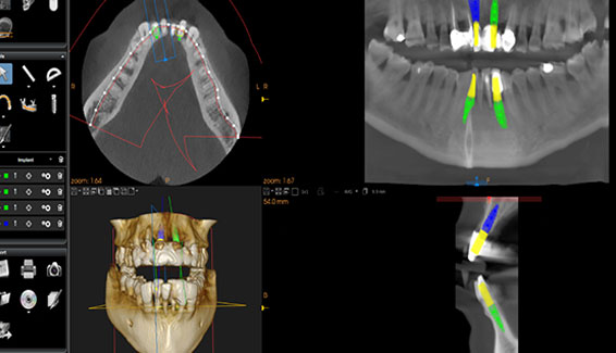
ADVANCED TECHNOLOGY

To Ensure our patients get the best outcomes we use advanced 3D technology for:

Examination, Treatment Plan, Design and Build

Examination

Clinical examination is carried out using 7X magnifying loupes which greatly improves vision and thereby, the quality of treatment. High-definition photographs... Read More>>>

Treatment Planning

Sophisticated digital technology is used to carryout treatment planning to achieve excellent clinical outcomes. Apart from the high-definition photographs Carestream Software... Read More>>>

Design & Build

Sophisticated software like Exocad for Restorative Dentistry and Implant Dentistry is used to consistently achieve excellent fit and aesthetics Orthodontic work is carried out using 3 shape... Read More>>>

Patient Journey

We strongly believe that all patients should accept and undergo treatment only after they understand if we can meet their expectations.

Understanding patient journey helps the doctor and patient to plan the treatment better.