ORTHODONTICS
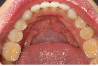
The ideal way to improve your smile and teeth alignment is by moving teeth to the most desired position. This eliminates the need to grind teeth down for veneers and crowns which can rarely be as good as your teeth. After alignment your teeth can be whitened and composites used to further enhance your smile.

Clear aligners are easy and discreet way to correct your smile. They are nearly invisible and just look like a shine on your teeth. If you are a busy person who meet new people on a regular basis or video conferencing with people around the world this is probably the best way to get your teeth aligned. Our seamless workflow includes taking a 3d digital impression and fabrication of aligners using clear aligner studio at our own lab where we have complete control over the treatment plan, better communication with technicians leading to excellent patient care.
Ceramic braces are a very aesthetic alternative to conventional (Train Track Braces). Many of our patients opt for this option because you just see a thin metal wire and all the brackets are teeth coloured. We use the state of the art damon technology(self ligating) which eliminates the need for elastic ties. Elastic ties often leads to plaque accumulation and disclouration.
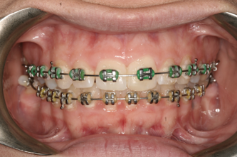
Conventional Braces have been around for a very long time. They are trusted proven and considered stronger than ceramic brackets. They are very popular amongst kids and young adults so that they could have different coloured ties to make a fashion statement. This is also more economical than ceramic braces. Treatment times vary from 9-18 months depending on the complexity.
We believe retention after orthodontic treatment is very important. Some studies have shown 60% relapse rates in 20 years. Hence we offer fixed retention (small fee) followed by a removable retainer(free) on top to make sure your improved smile remains intact